
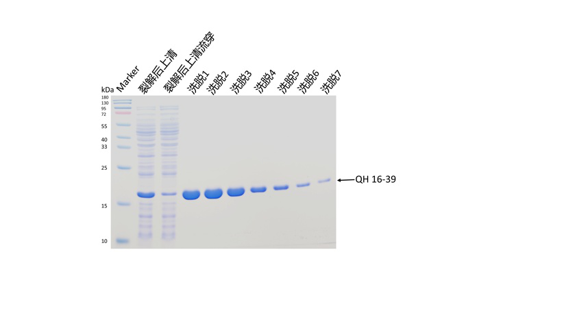
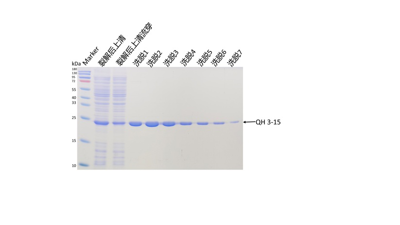
相關實驗
實驗承諾函
咨詢記錄
技術文章
城市
時間
江蘇省無錫市
2026-02-18 15:25:21
遼寧省沈陽市
2026-02-18 14:27:04
浙江省麗水市
2026-02-18 12:34:14
安徽省合肥市
2026-02-18 10:51:48
浙江省杭州市
2026-02-18 08:20:06
山東省濟南市
2026-02-18 07:34:22
浙江省杭州市
2026-02-18 07:23:54
浙江省麗水市
2026-02-18 05:30:32
浙江省麗水市
2026-02-18 05:26:25
河北省滄州市肅寧縣
2026-02-18 03:20:43
免疫熒光,兩個同種屬抗體該怎么染??
2025-10-14 15:34:35
2025年KO 細胞培養(yǎng)全攻略:新手也能學會的操作技巧與常見問題解答
2025-10-13 17:42:20
做蛋白純化,必須要熟知的一些蛋白酶抑制劑
2025-10-10 15:12:20
終于構出了KO細胞
2025-09-30 15:15:47
TSA 放大技術如何提升檢測信噪比?【TSA 檢測外包】
2025-09-25 11:45:59
TSA 放大技術怎么選?不同場景下的選型指南與注意事項
2025-09-22 18:18:58
為什么選擇TSA放大技術?
2025-09-19 16:42:50
做多重熒光總翻車怎么辦?TSA 信號放大 10-1000 倍!mIHC 五標六色實測穩(wěn)
2025-09-08 18:31:17
案例展示
特色服務實驗室